Patient Feedback

Dr. Marek has finally given me a smile that I am proud of!

Pamela is happy with her new smile

Case study of Pamela:

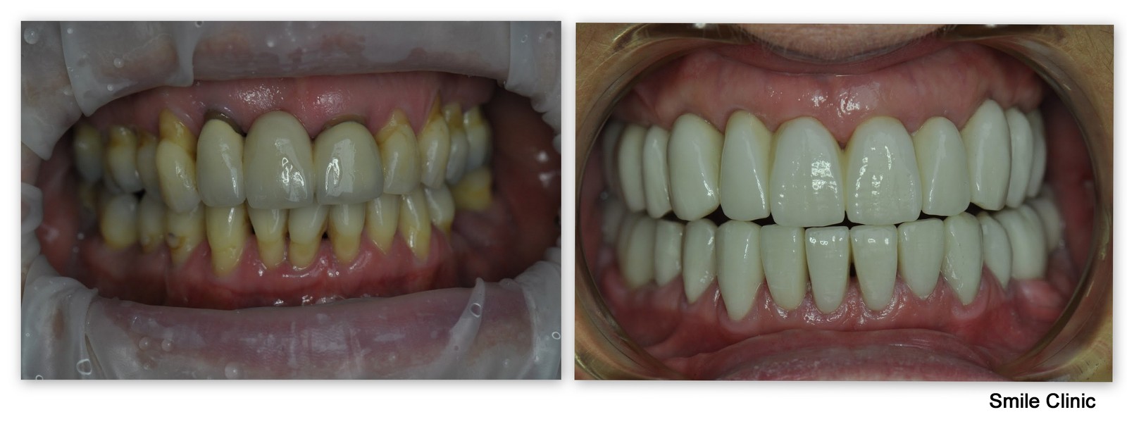
Pamela’s smile before the treatment and after the treatment

Mrs Pamela from Manchester, UK, contacted us 2 months after her 50th birthday, and her wish was to have all her teeth replaced with dental implants and dental crowns. She made a booking at our dental clinic for a consultation, during which we took X-rays and a CT scan. The doctor, Dr Marek, recommended the All-on-6 treatment for her upper jaw. He suggested leaving her lower front teeth as they were in good condition and placing only 2 implants on the lower left and 2 on the lower right. After the consultation, Pamela decided to return to the UK and took her time to make the decision.

We were happy when Pamela contacted us again and booked an implantation session with Dr. Marek in June. Our driver picked her up at the airport and drove her to our dental clinic in Piešťany. Before the doctor could fit the implants, he had to extract 13 of her natural teeth. After that, in 5 hours, she already had her dental implants fitted in her mouth. The doctor has performed socket preservation for all of her dental implants to ensure successful root formation in her jaw.

X-rays before the treatment and after the treatment

After 90 days, Pamela came to Slovakia again, and this time she brought her husband to support her 🙂 At this visit, we took impressions of her jaws/teeth. The doctor has also reshaped her remaining natural teeth on the lower front to prepare them for treatment with dental crowns.

On her final visit, we fitted the final implant crowns and 9 zirconium crowns. Pamela left our clinic with a wide smile, and she left us this pleasant testimonial:

Pamela’s testimonial:

Really pleased and exceptionally happy with all the treatment I have had over the last few months. Dr Marek has finally given me a smile that I am proud of. I feel confident again. The staff are very friendly and extremely helpful. I would definitely recommend this surgery to anyone. Thanks again, Pamela

If you are interested in this treatment, please contact us via our contact form. We can schedule a phone call if you prefer, and one of our staff members will answer any questions you have about your desired dental treatment.

Pamela´s testimonial (handwritten after the treatment)
Natalia

Recent Posts

Dental practice

At our dental practice at Smile Clinic Slovakia, we provide the next generation of dental…

7 months ago

Dental implants

Want to love the teeth you're missing? All you’ll ever need and want to know…

7 months ago

Smile Clinic – Your Dental Clinic Bratislava

The dental implant clinic right next to Bratislava International Airport — trusted by thousands from across…

9 months ago

Patient review All on 6 dental implants

I am a 52-year-old female who had a full set of teeth except for the…

9 months ago

Full mouth reconstruction

the all on 4 dental implant procedure to replace a denture or false teeth across…

9 months ago

Expertise

When choosing the right dental expertise clinic, you want to be sure that you have…

9 months ago