Blog-en

Dental crowns can help you achieve a perfect looking smile in just two visits!

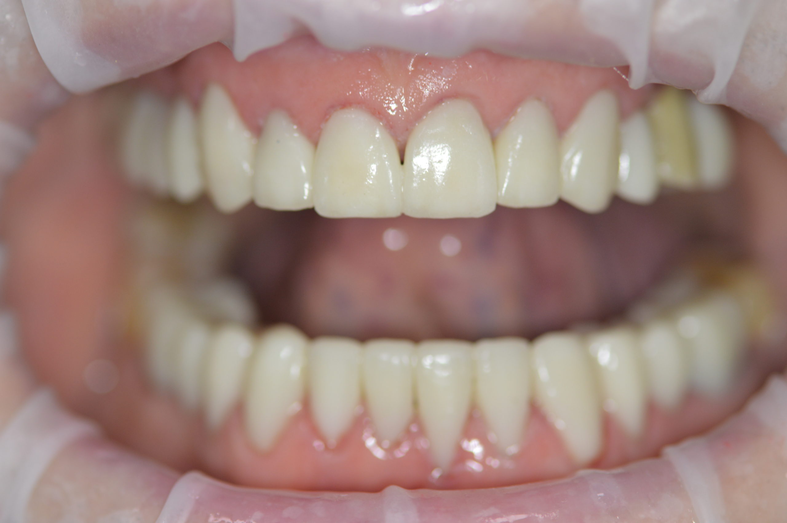
The patient´s smile after finishing treatment with dental crowns

Mr. Carlos from the UK decided to get dental crowns at Smile Clinic Slovakia – Dental Holiday. He wanted full set of dental crowns. Normally in the UK would this type of dental treatment take many visits at the dentist and cost a fortune. But at Smile Clinic we can help you to get nice and healthy smile in just two overnight visits!

Our driver Daniel has picked Carlos up at the Bratislava airport for free of charge and drove him to our dental clinic located just few minutes walk from city center of Bratislava – capital of Slovakia. At friendly atmosphere at the dental clinic Carlos has filled short questionnaire about his expectations and dental problems. Then we made an X ray for free of charge. The doctor has suggested to start the treatment with 2 composite reconstructions (on teeth 17 and 47). To get a nice smile Carlos has decided to get 11 dental crowns on his upper jaw and 12 dental crowns on his lower jaw.

How does treatment with dental crowns work?

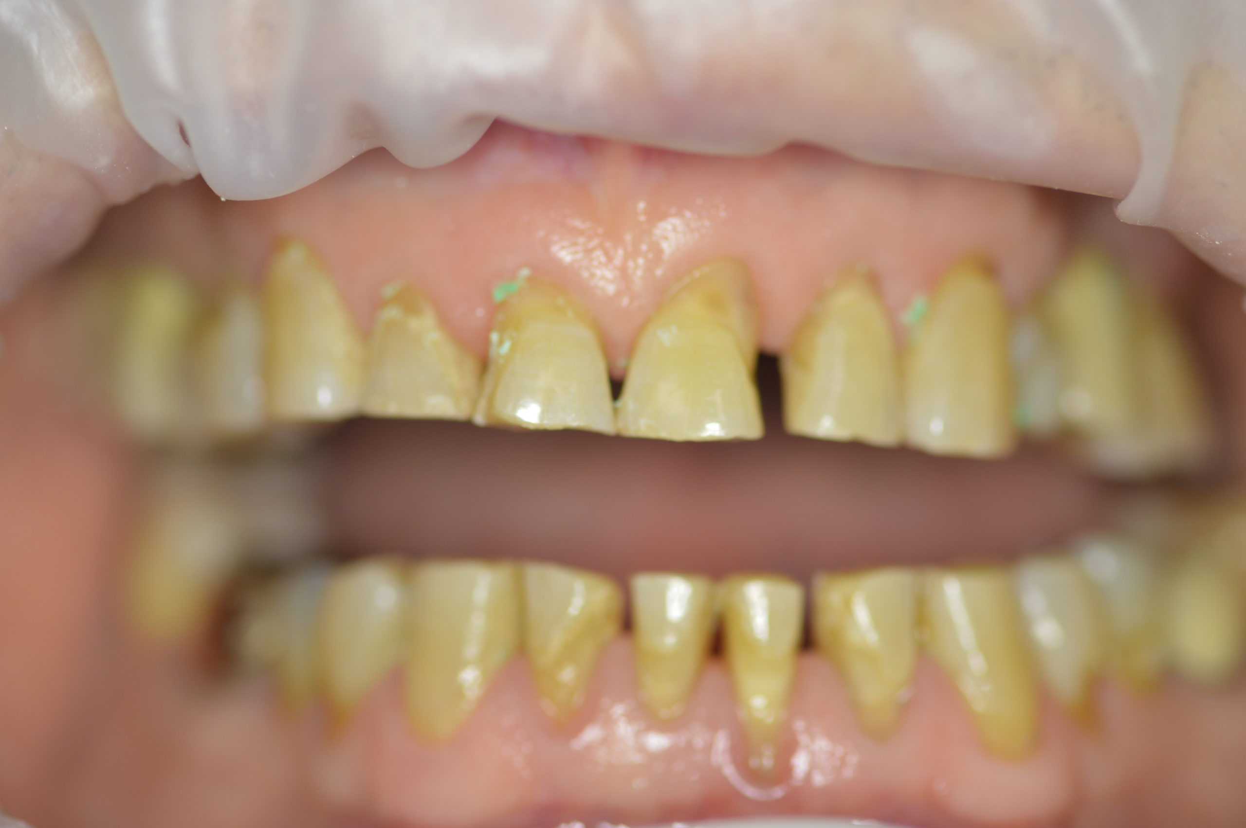
Carlos’ teeth BEFORE we started the treatment
Carlos’ teeth AFTER treatment

The treatment with dental crowns is usually divided to two one day visits. On visit 1 we reshape patient´s teeth so the doctor will be able to put final dental crowns on them later. After reshaping we take the impressions and send them to our specialized on-site dental laboratory. Dental technicians make all dental crowns with precision and they work closely with the doctors.

While the technicians work, we provide provisional dental crowns to all our patients so the patient is able to work, eat and smile normally. Provisional dental crowns are provided to all patients for free.

During visit 2 the doctor takes down provisionals and he fit final dental crowns to patients mouth. Mr. Carlos received his final dental crowns just few days ago and he is very happy with his new smile so far.

If you will need to stay more than one day we will help arrange your accommodations either.

There are no hidden costs and we offer a free consultation and x-rays. Fill out our quick, easy form and our experienced dental support team will contact you straight away.

Natalia

Recent Posts

Dr. Marek has finally given me a smile that I am proud of!

Pamela is happy with her new smile Case study of Pamela: Pamela's smile before the…

5 months ago

Dental practice

At our dental practice at Smile Clinic Slovakia, we provide the next generation of dental…

7 months ago

Dental implants

Want to love the teeth you're missing? All you’ll ever need and want to know…

7 months ago

Smile Clinic – Your Dental Clinic Bratislava

The dental implant clinic right next to Bratislava International Airport — trusted by thousands from across…

9 months ago

Patient review All on 6 dental implants

I am a 52-year-old female who had a full set of teeth except for the…

9 months ago

Full mouth reconstruction

the all on 4 dental implant procedure to replace a denture or false teeth across…

9 months ago