Patient Feedback

I am more than satisfied with all the treatment I got!

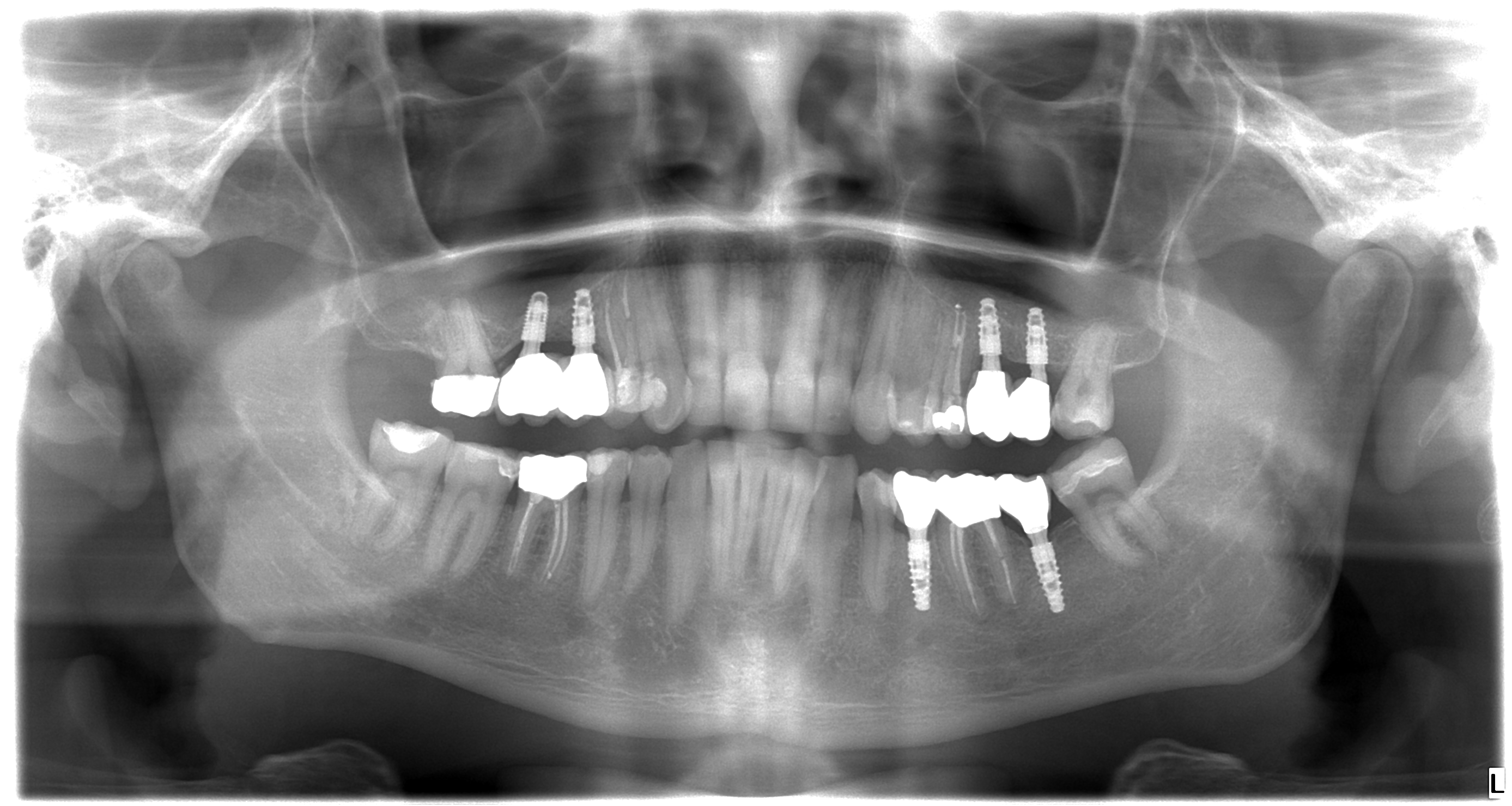
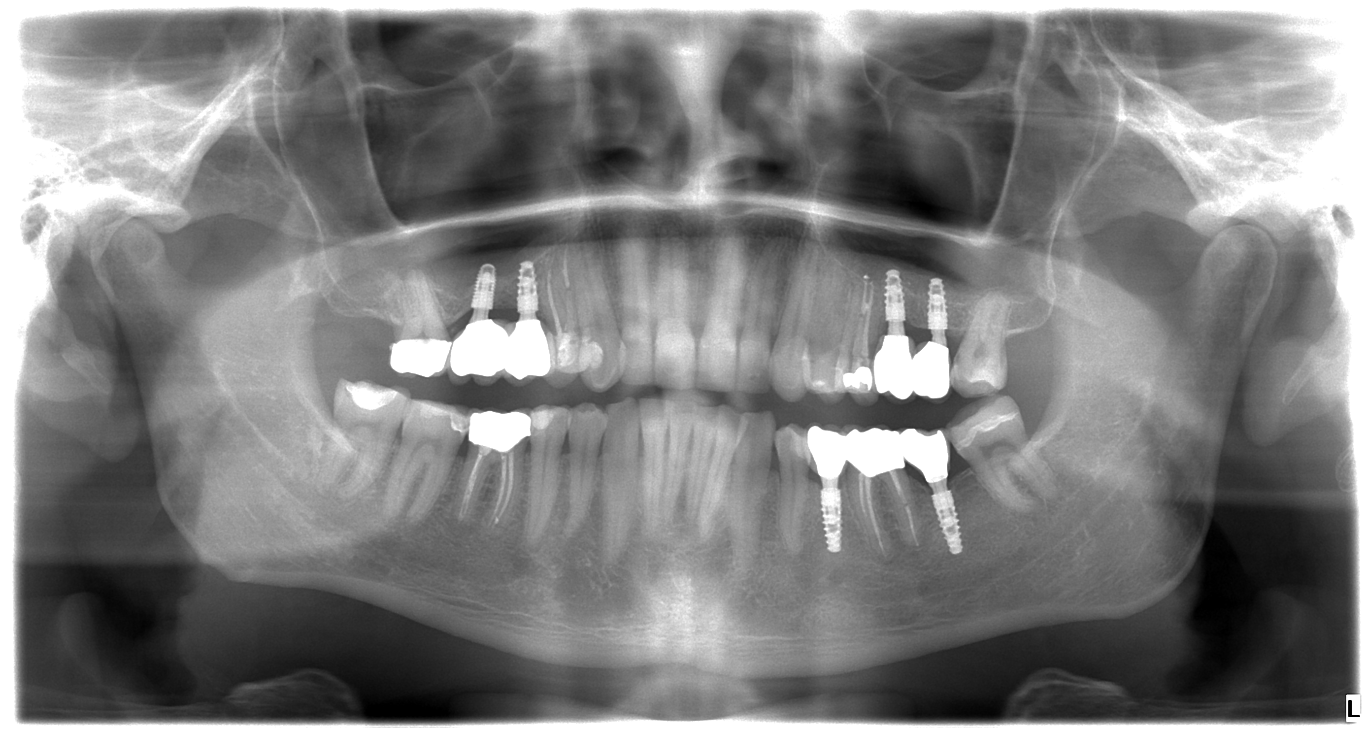
Patient´s X ray AFTER the treatment

Mr. Peter’s (32 years old) wish was to have nice and bright smile. Dr. Martin has made a treatment plan that contained 6 dental implants (4 for upper jaw and 2 for lower jaw), one tooth extraction, 5 re-root canal treatments and 12 dental crowns. After patient left examination room our staff discussed every detail of treatment with him and Mr. Peter made a booking for implant appointment with Dr.Martin in just 2 weeks after consultation.

The surgery began with the extraction of tooth number 26 and bone graft on upper jaw and it continued with implantation on 27, 26, 16 and 15 on upper jaw and 35 and 37 on lower jaw.

3,5 month after implantation Mr. Peter returned to our dental clinic to continue his treatment with four re-root canal procedures. Doctor decided to gave the implants more time for healing so patient returned in 2 months to get his front natural teeth reshaped and get impressions for his future implant crowns and zirconium dental crowns.

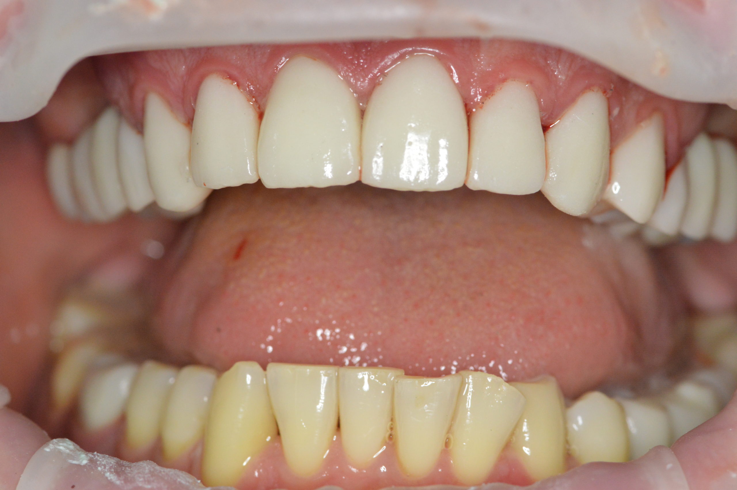
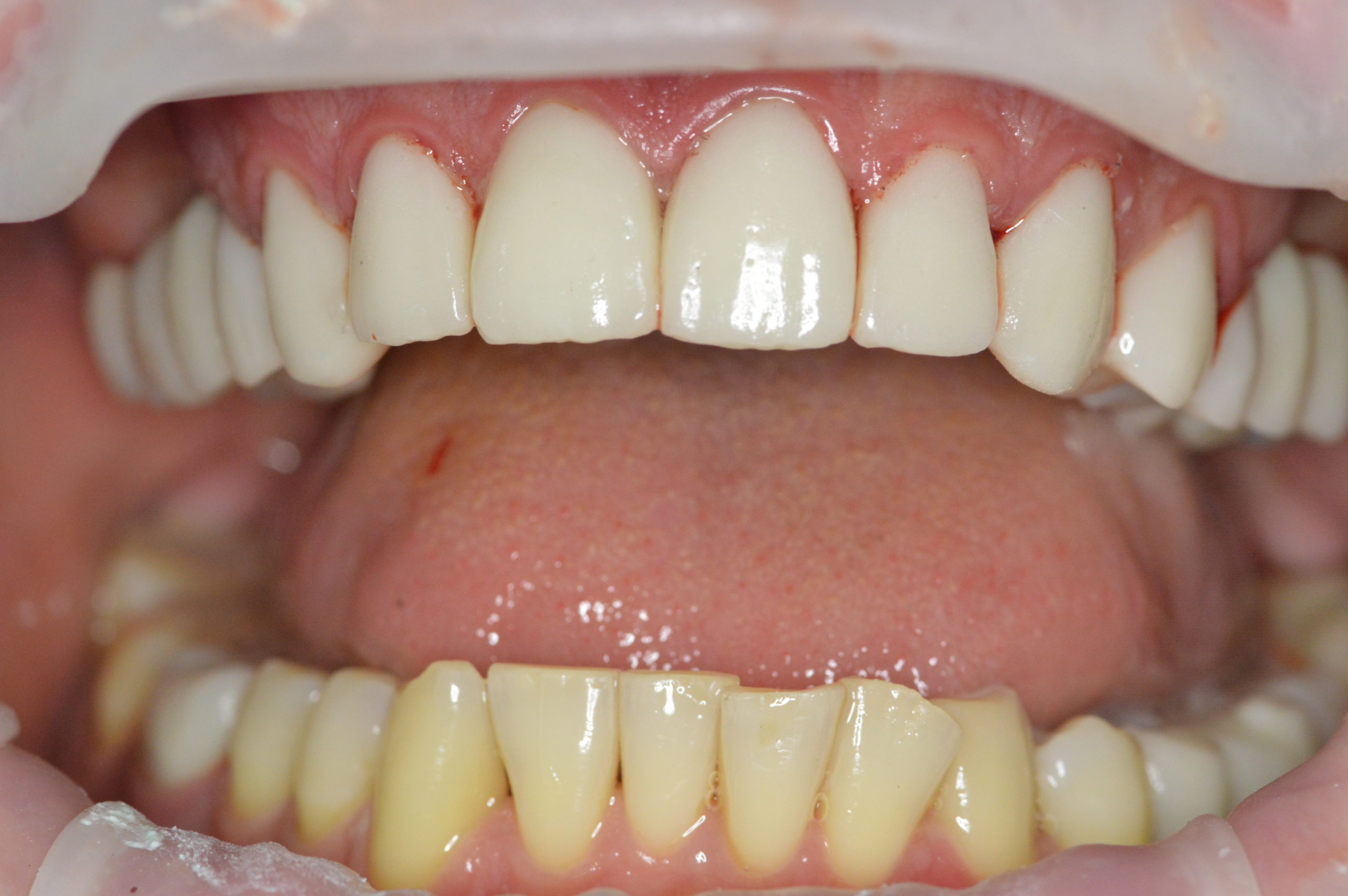
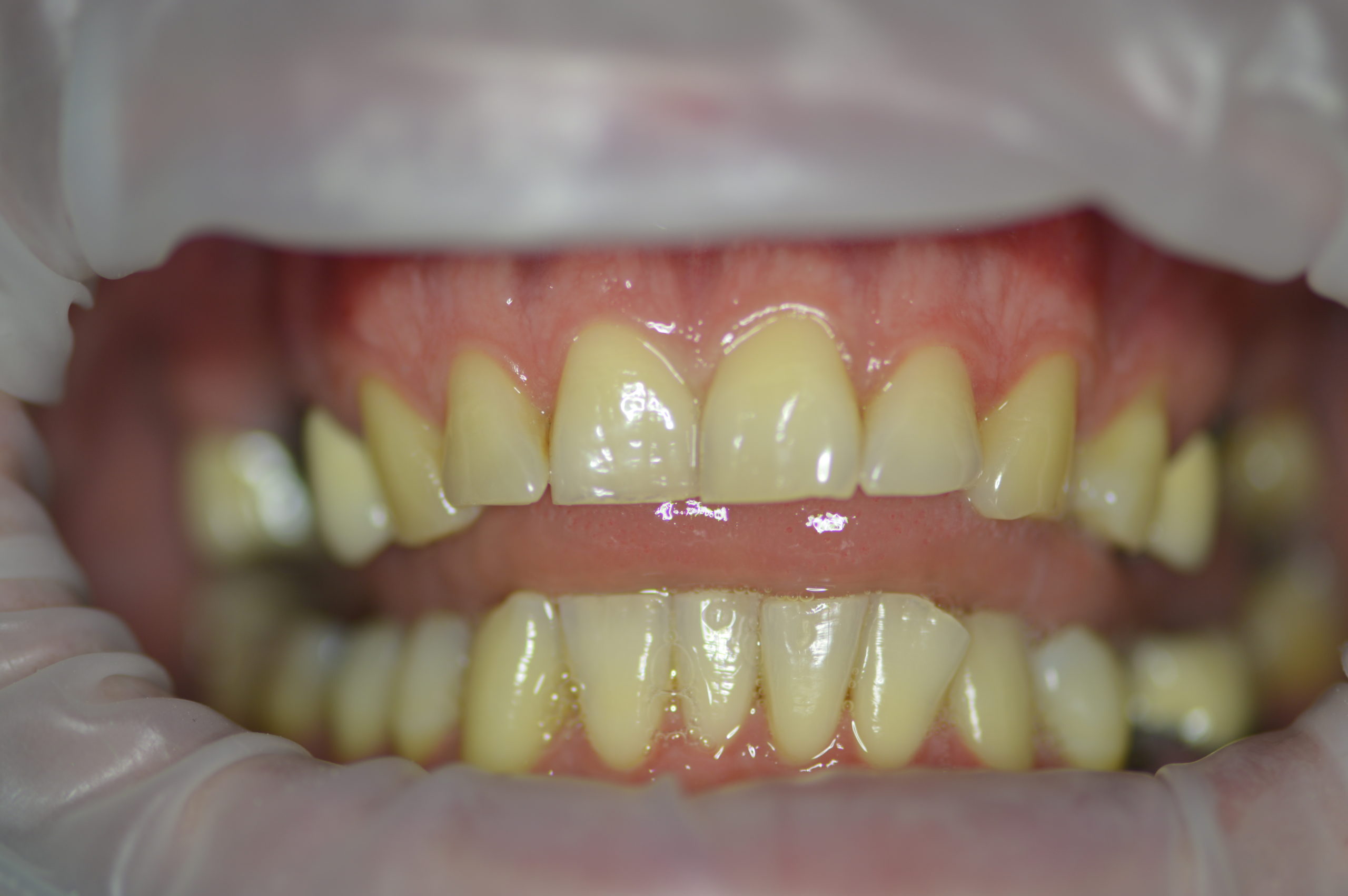
After next visit Mr. Peter left our clinic with this beautiful and natural looking smile. His upper jaw was fully reconstructed using dental implants in combination with dental crowns. Lower jaw was treated with 2 dental implants and two zirconium dental crowns.

Photo BEFORE treatment with dental implants and dental crowns
Photo AFTER treatment with dental implants and dental crowns

Peter continues to visit our clinic to get treatment for his lower teeth. We already done 3 fillings and one root canal treatment. We are happy that we could help Peter achieve good looking and healthy smile.

The translation of Peter’s testimonial:

I want to give a big Thank you to whole Smile Clinic team and especially to Dr. Kafka for very friendly and very professional attitude. Also for patience with all the questions. I am more than satisfied with all treatment I got and I could reformed Smile Clinic without any doubts to everyone who seek the best dental clinic in Slovakia. During every treatment I had the feeling that I put myself to the hands of the most professional doctors I ever could. With the final result I am more than satisfied. Thank you

Patient´s hand written testimonial in Slovak language
Natalia

Recent Posts

Dr. Marek has finally given me a smile that I am proud of!

Pamela is happy with her new smile Case study of Pamela: Pamela's smile before the…

5 months ago

Dental practice

At our dental practice at Smile Clinic Slovakia, we provide the next generation of dental…

7 months ago

Dental implants

Want to love the teeth you're missing? All you’ll ever need and want to know…

7 months ago

Smile Clinic – Your Dental Clinic Bratislava

The dental implant clinic right next to Bratislava International Airport — trusted by thousands from across…

9 months ago

Patient review All on 6 dental implants

I am a 52-year-old female who had a full set of teeth except for the…

9 months ago

Full mouth reconstruction

the all on 4 dental implant procedure to replace a denture or false teeth across…

9 months ago