Nový úsmev, rozumné riešenie a dlhoročná stabilita
Príbeh nášho pacienta, ktorý aj po 3 rokoch od ošetrenia žiari spokojnosťou
Náš pacient prišiel do SmileClinic s jasným cieľom chcel pevný, funkčný a estetický chrup, ktorý mu vydrží roky. Zároveň však bolo pre neho dôležité, aby sme spoločne našli riešenie, ktoré bude dlhodobo spoľahlivé a zároveň finančne rozumné.
Po dôkladnej diagnostike, konzultácii a vysvetlení všetkých možností sme sa rozhodli pre riešenie pomocou:
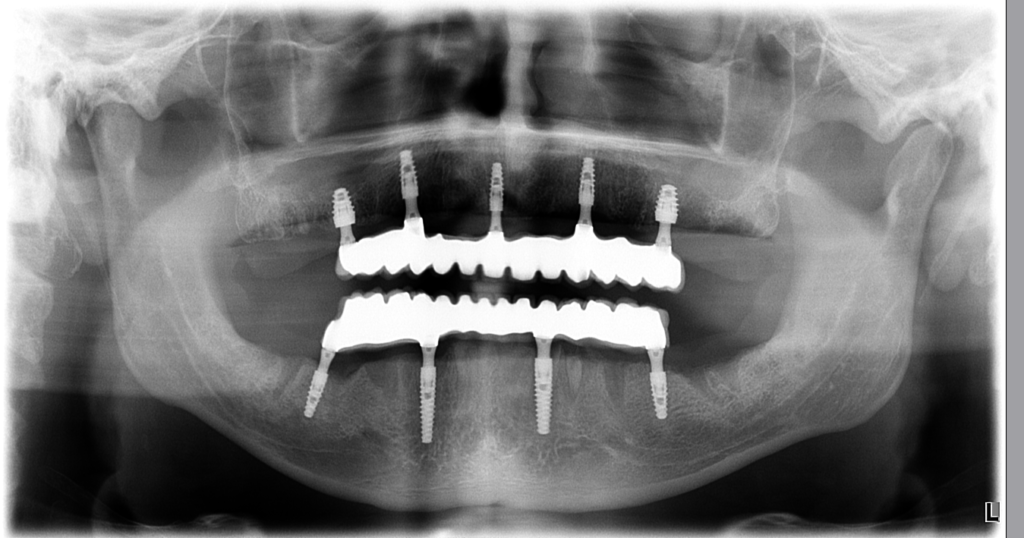
5 implantátov v hornej čeľusti a 4 implantátov v dolnej čeľusti, ktoré nesú 12 korunkových zubov ( teda mostík ) hore a 12 dole.
Nebolo potrebné zavádzať riešenie „6/14“ zvolili sme šetrnejší plán, ktorý splnil všetky potreby pacienta.
–Estetika – prirodzený a harmonický úsmev
–Funkčnosť – pevné zuby, s ktorými môže jesť bez obmedzenia
–Finančná realistickosť – riešenie na mieru jeho možností
Pacient ocenil, že sme nehľadali „najdrahšie riešenie“, ale najlepšiu kombináciu bezpečnosti, funkcie a ceny, ktorá bude fungovať dlhé roky.
3 roky neskôr – stále krásny a funkčný výsledok
Dnes, po troch rokoch, sa pacient stále spokojne usmieva.
Pravidelne k nám chodí na preventívne prehliadky každý rok, a vďaka tomu máme možnosť sledovať stabilitu a estetiku jeho nového chrupu.
Fotografia po troch rokoch ukazuje, že výsledok je stále rovnako krásny, ako v deň dokončenia.
RTG snímka zas potvrdzuje stabilitu implantátov a zdravé okolité tkanivá.



Príbeh, ktorý inšpiruje
Tento prípad je dôkazom, že:
nie vždy je potrebné zavádzať maximum implantátov,
-dôležitejšia je kvalita, nie kvantita,
– správny plán dokáže ušetriť peniaze a zároveň priniesť špičkový výsledok,
-pravidelné prehliadky sú kľúčom k dlhodobej spokojnosti.
Ak túžite po pevnom, prirodzenom a dlhotrvajúcom riešení, radi vám pomôžeme nájsť presne taký plán, ktorý bude fungovať pre vás.
Identita pacienta bola upravená na ochranu jej osobných údajov. Všetky príbehy sú však založené na skutočných prípadoch
